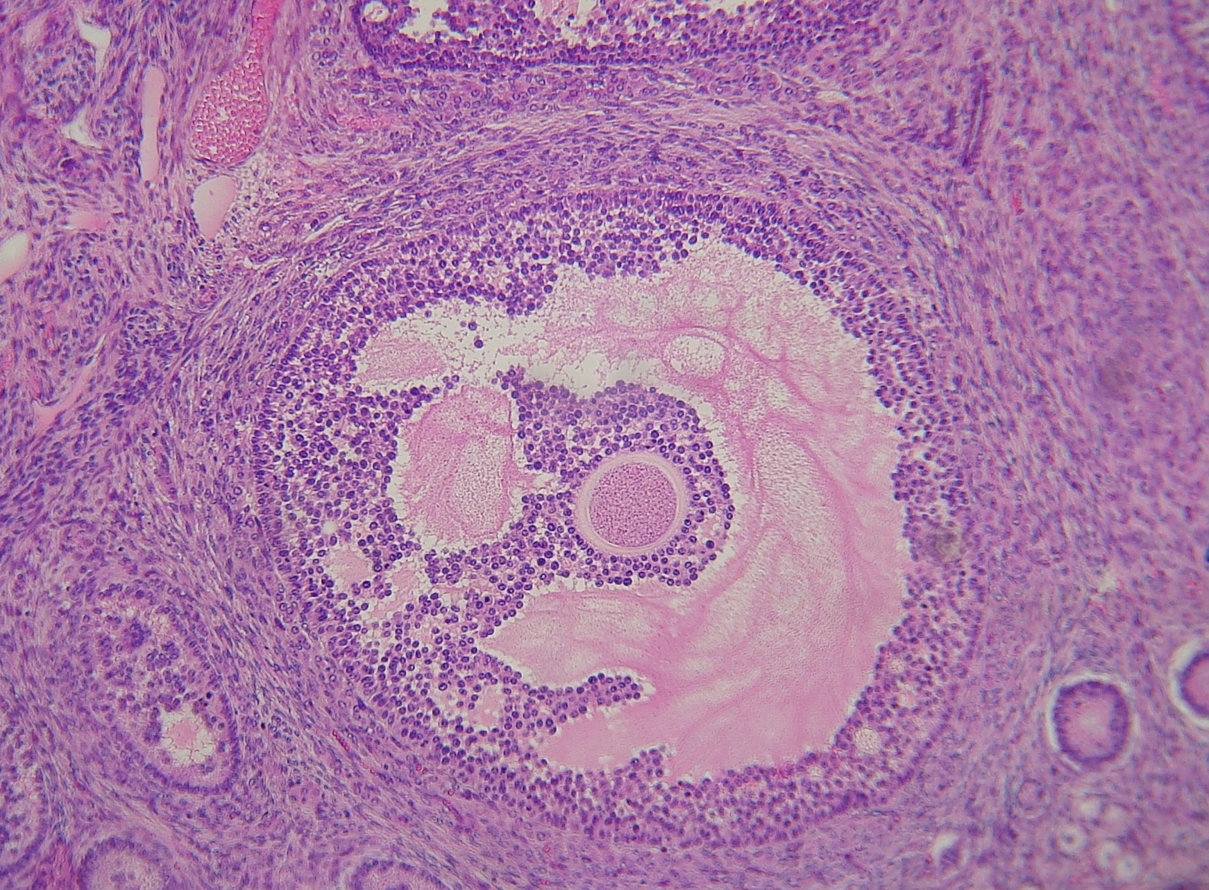
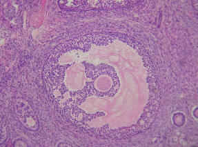
Coupes transversales d'ovaire de lapine

(colorant : éosine)

Cliquer sur chaque photographie pour télécharger l'image en grand format

Follicule III cavitaire mûr

Follicule III cavitaire en cours de maturité

Corps jaune

Remarquer un follicule mûr au centre du cliché. L'ovocyte I est observable au centre du follicule, en rose clair, l'antrum (= cavité) entouré de la granulosa (bleu violet (cellules granuleuses) et les thèques séparées de la granulosa par un petit décollement de la préparation.

Remarquer un follicule presque mûr avec en son centre l'ovocyte I (clair), l'antrum (= cavité)

en cours d'extension. La granulosa et les 2 types

de thèques (granuleuse [côté interne] et

fibreuse [côté externe]) sont bien visibles.

Remarquer le corps jaune avec coagulum central (rouge) séquelle du follicule cavitaire, les cellules du corps jaune (marbrées) qui dérivent de l'évolution des cellules de la granulosa et enfin les thèques (peu visibles).

(fermer la fenêtre)